超声、CT、MRI……检查胆道结石适合哪种方式?
在临床工作中,
经常有患者会问医生,
怀疑自己有了胆道结石,
但不知道怎么检查,
该做超声、CT还是MRI呢?
这就来给大家讲明白!
01
超声
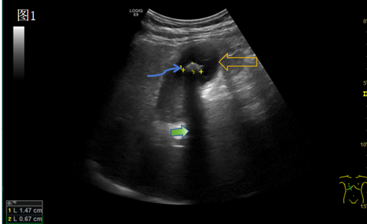
超声是临床工作中腹部检查最常用的检查方法,广泛应用于临床初筛,具有价格便宜、无创、检查方便、可重复性强、能实时动态观察等优势,可以清晰地显示胆囊和胆囊结石的情况,诊断准确性较高,对急慢性胆囊炎、胆囊结石、胆管结石都有很好的诊断作用。
超声容易受到腹部胃肠道气体干扰而无法显示胆道结石,尤其是胆总管的结石,更容易被肠道气体影响观察。经典的图像为胆囊内见强回声光团伴后方声影,一般可随体位变动而移动(嵌顿结石除外)。同时超声的成像方式是利用人体内部反射声波的特性进行成像,所以无论是“阳性结石”还是“阴性结石”都可清晰显示。

胆囊超声图像:黄色空心长箭头指的是胆囊,蓝色长箭头指的是胆囊结石(强回声光团),绿色箭头指的是强光团后方的声影。
02
CT
计算机断层扫描(CT)具有高分辨率的特点,不受肠气干扰,可与超声波检查相互补充,并有助于观察并发症的存在。除了能够提示出胆囊体积增大、囊壁增厚、阳性胆系结石、胆总管扩张等情况外,CT还能呈现出胰腺形态和密度的变化,以及胰周渗出液的情况。同时,CT还能反映出胆囊结石的化学成分,从而对结石成分进行预测。此外,CT还可以通过多平面重建和三维重建技术,提供更加清晰的图像,帮助医生更准确地诊断和治疗胆囊炎。但是根据CT的成像原理,当物质的密度和厚度相仿时,X射线的衰减程度相仿,无法形成具有对比的图像,所以有些时候无法清晰观察到“阴性结石”。

箭头指向白色的石头为胆色素结石。

橙色箭头指向黑色类圆形结节影为胆固醇结石。


箭头指向混杂密度影黑白相间的为混合型结石。

箭头指向为胆囊颈部结石,胆囊壁增厚,胆囊炎。

箭头指向为胆总管下段结石,上游胆管扩张。
03
MRI
与CT相比,MRI在诊断无症状胆结石方面具有明显优势。特别是在评估胆源性胰腺炎以及胆总管和胆囊颈结石患者时,MRI显示出了至关重要的作用。MRCP技术不仅无创,而且诊断胆总管结石的特异性高达90%以上。MRCP图像能够清晰地展示胆胰管结构,还可以多平面三维重建,方便获得更为精确的定量分析和结构测量。

MRCP箭头指向的黑色充盈缺损影为胆总管下段结石。

箭头指向左侧为胆总管下段结石,右侧为胆囊结石。

箭头所指黑色的充盈缺损影为胆囊结石。
不同类型的影像学检查方法各有优缺点,不能一概而论,更不能一叶障目。一般遵循一个原则,就是由低到高,由简单到复杂,由便宜到昂贵。为了实现全面、精准的诊断和评估,临床医生需要综合运用多种影像技术,以相互补充的方式获得更加全面的信息,以便临床医生对患者进行综合的评估及个体化的治疗方式。
(作者:广东省中医院珠海医院 黄乐生)
赞
27
我爱定你
10-30
学到了学到了,真是太棒咯👍
emmar2233
10-30
原来如此,感谢科普君的分享😜
往年初夏
10-30
哈哈,这科普不错,涨知识啦🎉